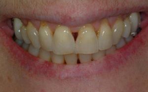
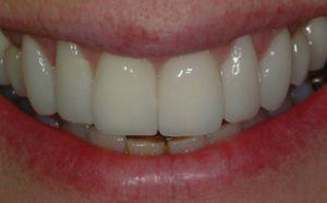
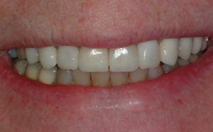
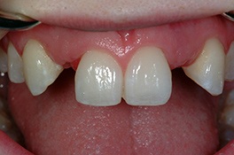
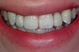
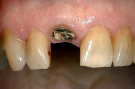
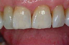
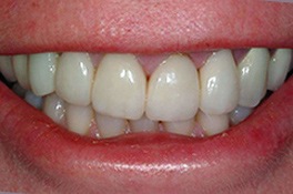
To learn more about the results you can expect from our prosthodontist and team, we encourage you to look through our smile gallery. Call Prosthodontics Atlanta today to schedule an appointment with Dr. Jay S. Smith and learn more about prosthodontics in Atlanta, Georgia, and how it can enhance your smile.
Crowns






Implants






Veneers






Full Mouth Rehabilitation





